气管腺样囊性癌(Tracheal Adenoid Cystic Carcinoma, 简称TACC)为气管恶性肿瘤中第二常见的肿瘤病种,约占所有气管恶性肿瘤的10~30%。TACC生长缓慢,早期多无症状,后期可出现咳嗽、呼吸困难、胸闷气急、声音嘶哑等。该病种的治疗,通常首选手术;对于不能或不愿手术者,则通常采用放射治疗。
今天,小编就带着各位看官先来“尝个鲜”,了解一下我院开业以来,采用重离子治疗气管腺样囊性癌患者的初步临床结果。
2016年3月至2017年10月间,我院共收治了10例TACC患者,所有患者来院前均已病理确诊,并接受了PET/CT肿瘤分期检查。
除1例有单发肺转移外,其余均未发现远处转移。全部患者均采用重离子治疗,1例外院放疗后复发患者重离子照射剂量为60GyE/20次,1例术后复发及1例冷冻术后患者为66GyE/22次,其余7例均为69GyE/23次。
【重离子治疗疗效】
10例患者均按计划完成治疗,至2017年12月底,中位随访时间为5.5个月(1.5~16.4个月)。截至末次随访,1例冷冻术后放疗患者未见肿瘤复发和转移证据,其余患者中3例影像学完全缓解(肿瘤完全退缩)、2例部分缓解和4例疾病稳定,局部控制率100%。
【重离子治疗毒副反应】
所有患者未发生≥3级的急性反应;2级反应仅为1例声音嘶哑和1例中性粒细胞下降;1级反应包括:7例食管炎、4例中性粒细胞下降、4例白细胞下降、4例放射性皮肤反应、2例放射性肺炎、2例咳嗽、2例声音嘶哑和1例血红蛋白下降。上述1、2级反应均较轻微且放疗结束后短期内即缓解。
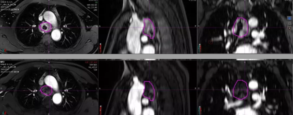
【上图】重离子放疗前
【下图】重离子放疗后3个月
病例A:颈部腺样囊性癌,放疗后3个月肿块明显退缩,疗效评价为部分缓解。
【上图】重离子放疗前
【下图】重离子放疗后3个月
病例B:近隆突处TACC,放疗后3个月肿块大小与放疗前相仿,但MRI(磁共振)显示信号增强程度显著降低,疗效评价为疾病稳定。
TACC根治性治疗方式以手术为主;由于气管可切除范围受限且肿瘤可在早期就侵犯神经、或沿支气管壁蔓延生长的特点,肿瘤常无法完整切除甚或失去手术机会。TACC的手术切缘阳性或者肉眼残留的比例甚至可高达80%以上。
临床医生一般会推荐对这类患者、甚至已完整切除的患者进行术后辅助放疗。约三分之一的气管肿瘤患者会因气道侵犯过长(约占无法手术患者的三分之二),气管周围组织或器官侵犯、远处转移、合并症和患者意愿等原因无法接受手术治疗,此时放疗为主要治疗手段。
质子重离子射线具有更佳的物理剂量学优势,可根据治疗需求,在其入射后的某个部位释放近乎全部能量,其后能量沉积迅速减少(形成布拉格峰),故可更好地保护正常组织,从而可较光子放疗进一步提高照射剂量以提高肿瘤局控。且重离子射线属高线性能量传递射线,相比光子射线可在肿瘤细胞内产生更多较难修复的DNA双链断裂,从而提高对肿瘤细胞杀伤率,尤其是对一些抵抗光子放疗的肿瘤,如腺样囊性癌等。
已有数个研究表明,含重离子的混合射线放疗对头颈部腺样囊性癌具较好的疗效和较低的不良反应,重离子加光子照射与单纯光子照射相比,疗效有显著优势,提示气管腺样囊性癌也很可能从重离子放疗中获益。
对不能或不愿手术的患者,由于病例数少、治疗方法(射线类型、放疗技术和范围等)间存在差异,气管肿瘤包括TACC在内,其根治性放疗剂量尚无明确、统一的标准处方,但较高的照射剂量可能更利于局部控制。因为该病种淋巴结转移率低且淋巴结是否阳性对预后影响不大,临床上通常不建议TACC做预防性淋巴引流区照射。
考虑到气管腺样囊性癌是一种生长和退缩均十分缓慢的肿瘤,随着随访时间的延长,肿瘤还可能进一步退缩、缓解。目前,针对这一肿瘤,有治疗经验的肿瘤中心较少,大数据的临床报道更为少见,且全球范围内尚未见重离子射线在TACC治疗中应用的文献报道或临床资料。
我院创新性地运用重离子射线对TACC这一肿瘤进行治疗,不良反应轻微,取得了较为理想的治疗效果。今后,我院临床团队将在工作中进一步积累病例,继续深入开展临床诊疗和研究,让质子重离子放疗——这一尖端肿瘤放射治疗技术更好地造福于肿瘤患者。


